Nerve growth factor-beta (NGF-β) is a potent neurotrophic factor which supports the growth and survivability of nerve and/or glial cells. The active form of human beta-NGF is is a noncovalently disulfide-linked homodimer, formed by two 13.5 kDa polypeptide monomers (238 total amino acids). The three disulfide bonds are required for biological activity.
Product Information
Format
Unpurified
Control
Recombinant protein
Presentation
Rabbit Monoclonal in buffer containing 50 mM Tris-Glycine (pH 7.4), 0.15 M NaCl containing 40% Glycerol, 0.01% sodium azide and 0.05% BSA.
Applications
Application
This Anti-pro-NGF (N-term) Antibody, clone EP1318Y, Rabbit is validated for use in FC, WB, IC, IP for the detection of pro-NGF (N-term).
Key Applications
Immunoprecipitation
Flow Cytometry
Western Blotting
Immunocytochemistry
Application Notes
Immunocytochemistry Analysis: 1:100-250 dilution from a previous lot was used in IC.
Flow Cytometry: 1:200 dilution of a previous lot was used in flow cytometry.
Immunoprecipitation Analysis: 1:20 dilution from a previous lot was used in IP.
Biological Information
Immunogen
Synthetic peptide corresponding to residues near the N-terminus of human NGF-β precursor (pro-NGF).
Epitope
N-terminus
Clone
EP1318Y
Host
Rabbit
Specificity
This antibody recognizes NGF-β precursor (pro-NGF) at and around the N-terminus.
This gene is a member of the NGF-beta family and encodes a secreted protein which homodimerizes and is incorporated into a larger complex. This protein has nerve growth stimulating activity and the complex is involved in the regulation of growth and the differentiation of sympathetic and certain sensory neurons. Mutations in this gene have been associated with hereditary sensory and autonomic neuropathy, type 5 (HSAN5), and dysregulation of this gene's expression is associated with allergic rhinitis.
FUNCTION:Nerve growth factor is important for the development and maintenance of the sympathetic and sensory nervous systems. It stimulates division and differentiation of sympathetic and embryonic sensory neurons. SUBUNIT STRUCTURE:Homodimer. SUBCELLULAR LOCATION:Secreted. INVOLVEMENT IN DISEASE:Defects in NGF are the cause of hereditary sensory and autonomic neuropathy type 5 (HSAN5) [MIM:608654]. The hereditary sensory and autonomic neuropathies are a genetically and clinically heterogeneous group of disorders characterized by degeneration of dorsal root and autonomic ganglion cells, and by sensory and/or autonomic abnormalities. HSAN5 patients manifest loss of pain perception and impaired temperature sensitivity, ulcers, and in some cases self-mutilation. The autonomic involvement is variable. SEQUENCE SIMILARITIES:Belongs to the NGF-beta family.
Product Usage Statements
Quality Assurance
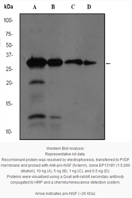
Evaluated by Western Blot on recombinant protein.
Western Blot Analysis: 1:1,000-5,000 dilution of this antibody was used to detect NGF-β precursor (pro-NGF).
Usage Statement
Unless otherwise stated in our catalog or other company documentation accompanying the product(s), our products are intended for research use only and are not to be used for any other purpose, which includes but is not limited to, unauthorized commercial uses, in vitro diagnostic uses, ex vivo or in vivo therapeutic uses or any type of consumption or application to humans or animals.
Storage and Shipping Information
Storage Conditions
Stable for 1 year at -20ºC from date of receipt.
Handling Recommendations: Upon receipt, and prior to removing the cap, centrifuge the vial and gently mix the solution. Aliquot into microcentrifuge tubes and store at -20°C. Avoid repeated freeze/thaw cycles, which may damage IgG and affect product performance. Note: Variability in freezer temperatures below -20°C may cause glycerol containing solutions to become frozen during storage.
Nerve growth factor-beta (NGF-β) is a potent neurotrophic factor which supports the growth and survivability of nerve and/or glial cells. The active form of human beta-NGF is is a noncovalently disulfide-linked homodimer, formed by two 13.5 kDa polypeptide monomers (238 total amino acids). The three disulfide bonds are required for biological activity.
Product Information
Format
Unpurified
Control
Recombinant protein
Presentation
Rabbit Monoclonal in buffer containing 50 mM Tris-Glycine (pH 7.4), 0.15 M NaCl containing 40% Glycerol, 0.01% sodium azide and 0.05% BSA.
Applications
Application
This Anti-pro-NGF (N-term) Antibody, clone EP1318Y, Rabbit is validated for use in FC, WB, IC, IP for the detection of pro-NGF (N-term).
Key Applications
Immunoprecipitation
Flow Cytometry
Western Blotting
Immunocytochemistry
Application Notes
Immunocytochemistry Analysis: 1:100-250 dilution from a previous lot was used in IC.
Flow Cytometry: 1:200 dilution of a previous lot was used in flow cytometry.
Immunoprecipitation Analysis: 1:20 dilution from a previous lot was used in IP.
Biological Information
Immunogen
Synthetic peptide corresponding to residues near the N-terminus of human NGF-β precursor (pro-NGF).
Epitope
N-terminus
Clone
EP1318Y
Host
Rabbit
Specificity
This antibody recognizes NGF-β precursor (pro-NGF) at and around the N-terminus.
This gene is a member of the NGF-beta family and encodes a secreted protein which homodimerizes and is incorporated into a larger complex. This protein has nerve growth stimulating activity and the complex is involved in the regulation of growth and the differentiation of sympathetic and certain sensory neurons. Mutations in this gene have been associated with hereditary sensory and autonomic neuropathy, type 5 (HSAN5), and dysregulation of this gene's expression is associated with allergic rhinitis.
FUNCTION:Nerve growth factor is important for the development and maintenance of the sympathetic and sensory nervous systems. It stimulates division and differentiation of sympathetic and embryonic sensory neurons. SUBUNIT STRUCTURE:Homodimer. SUBCELLULAR LOCATION:Secreted. INVOLVEMENT IN DISEASE:Defects in NGF are the cause of hereditary sensory and autonomic neuropathy type 5 (HSAN5) [MIM:608654]. The hereditary sensory and autonomic neuropathies are a genetically and clinically heterogeneous group of disorders characterized by degeneration of dorsal root and autonomic ganglion cells, and by sensory and/or autonomic abnormalities. HSAN5 patients manifest loss of pain perception and impaired temperature sensitivity, ulcers, and in some cases self-mutilation. The autonomic involvement is variable. SEQUENCE SIMILARITIES:Belongs to the NGF-beta family.
Product Usage Statements
Quality Assurance
Evaluated by Western Blot on recombinant protein.
Western Blot Analysis: 1:1,000-5,000 dilution of this antibody was used to detect NGF-β precursor (pro-NGF).
Usage Statement
Unless otherwise stated in our catalog or other company documentation accompanying the product(s), our products are intended for research use only and are not to be used for any other purpose, which includes but is not limited to, unauthorized commercial uses, in vitro diagnostic uses, ex vivo or in vivo therapeutic uses or any type of consumption or application to humans or animals.
Storage and Shipping Information
Storage Conditions
Stable for 1 year at -20ºC from date of receipt.
Handling Recommendations: Upon receipt, and prior to removing the cap, centrifuge the vial and gently mix the solution. Aliquot into microcentrifuge tubes and store at -20°C. Avoid repeated freeze/thaw cycles, which may damage IgG and affect product performance. Note: Variability in freezer temperatures below -20°C may cause glycerol containing solutions to become frozen during storage.