收藏本站
热门搜索: A3500  E1910  A1360  25200056  dmem  

CDK9 (C12F7) Rabbit mAb

  • 产品编号:CST-2316P      品牌:Cell Signaling Technology       原厂货号:2316P
  • 产品分类:抗体 > 一抗 > 蛋白特异性一抗
  • 应用分类:
 
包装: 40 ul
运保温度: –20°C.
到货周期: 登录后查看
标准价: ¥客户可见
会员价: ¥客户可见
积分: 客户可见
 
登录之后可加入购物车购买,请您 
对比 收藏

运费与支付说明:

1.含干冰类产品有运费;

2. 必须现金付款或有信用额度的会员才可以直接发货,否则需要等待现金付款信息。

描述:

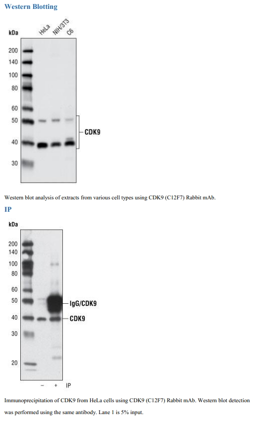
CDK9 (C12F7) Rabbit mAb能够检测内源性CDK9总蛋白,包括42kDa和55kDa亚型。该单克隆抗体是由合成的人源的针对CDK9蛋白羧基末端肽段免疫动物生产的。

 P-TEFb是一个普通的转录因子,它通过磷酸化RNA 聚合酶 II (RNAP II)C-末端尾巴结构域(CTD)来调节转录延伸。P-TEFb复合体由一个催化亚基,CDK9及其周期蛋白伴侣(可能是cyclin T1, T2a, T2b 或者 K)组成(回顾1,2)。P-TEFb被HIV Tat蛋白招募,促进转录延伸,随后病毒基因组开始复制。因此抑制P-TEFb的功能可以作为潜在的HIV疗法。CDK9以两种异构体的形式存在,一种是高丰度的42 kDa的异构体,一种是较低丰度的55 kDa的异构体并含有一个羧基末端延伸(3)。基于二者在淋巴细胞激活中的差异性表达(4,5)和核内定位的不同(5),两种异构体似乎有明显不同的作用。周期蛋白依赖性激酶(CDKs)的激活部分经由周期蛋白的结合与T-回路结构域中保守区苏氨酸的磷酸化。一种不明的核激酶介导的CDK9 186位苏氨酸磷酸化可能在P-TEFb激活和HIV转录调节中发挥重要作用(7)。CDK9在44位赖氨酸的乙酰化影响其磷酸化RNAPII CTD的能力(8)。

  1. Rice, A.P. and Herrmann, C.H. (2003) Curr HIV Res 1, 395-404.
  2. De Falco, G. and Giordano, A. Cancer Biol Ther 1, 342-7.
  3. Shore, S.M. et al. (2003) Gene 307, 175-82.
  4. Shore, S.M. et al. (2005) Gene 350, 51-8.
  5. Liu, H. and Herrmann, C.H. (2005) J Cell Physiol 203, 251-60.
  6. Chen, R. et al. (2004) J Biol Chem 279, 4153-60.
  7. Ammosova, T. et al. (2005) Retrovirology 2, 47.
  8. Fu, J. et al. (2007) Mol Cell Biol 27, 4641-51.


注意事项:

For Research Use Only. Not For Use In Diagnostic Procedures.

Storage: Supplied in 10 mM sodium HEPES (pH 7.5), 150 mM
NaCl, 100 µg/ml BSA and 50% glycerol. Store at –20°C.
Do not aliquot the antibody.


相关图片

本产品可用于的实验

购此产品的人还购买了
最近浏览产品

京ICP备15036693号-2    京公网安备11010802025653    版权所有:北京逸优科技有限公司       1.81

 纠 错