收藏本站
热门搜索: A3500  E1910  A1360  25200056  dmem  

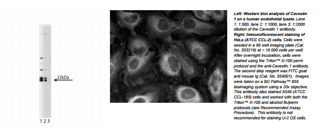
Caveolin 1 Pure C060 50ug

  • 产品编号:BD-610057      品牌:BD-Pharmingen       原厂货号:610057
  • 产品分类:抗体 > 一抗 > 蛋白特异性一抗
  • 应用分类:
 
包装: 50ug
运保温度: Store undiluted at -20°C .
到货周期: 登录后查看
标准价: ¥客户可见
会员价: ¥客户可见
积分: 客户可见
 
登录之后可加入购物车购买,请您 
对比 收藏

运费与支付说明:

1.含干冰类产品有运费;

2. 必须现金付款或有信用额度的会员才可以直接发货,否则需要等待现金付款信息。

描述:

Identified as a tyrosine phosphorylated protein in Rous sarcoma virus-transformed chick embryo fibroblasts (CEF), caveolin is now known to be ubiquitously expressed. Caveolin (also known as VIP21) localizes to non-clathrin membrane invaginations (caveolae) on the inner surface of the plasma membrane. This transmembrane protein plays a structural role in these specializations. Caveolin is also present at the trans-Golgi network (TGN) and similar quantities are found in apically and basolaterally destined transport vesicles. Caveolin is part of a complex containing glycosylphosphatidylinositol (GPI)-linked molecules and cytoplasmic signaling proteins. Caveolin is a transmembrane adaptor molecule that can simultaneously recognize GPI-linked proteins and interact with downstream cytoplasmic signaling molecules, such as c-yes, Annexin II, and hetero-trimeric G proteins. Caveolin-1 can generate two forms, α and ß, due to alternate splicing of the mRNA. Caveolin-1 forms large lipid-binding homo-oligomers which are believed to play a role in caveolae formation. It may also function as a scaffolding protein which concentrates and organizes signaling molecules, a role supported by the fact that caveolin-1 interacts directly with inactive Ras and G-protein α subunits. 


注意事项:

1.Since applications vary, each investigator should titrate the reagent to obtain optimal results.
2.Caution: Sodium azide yields highly toxic hydrazoic acid under acidic conditions. Dilute azide compounds in running water before discarding to avoid accumulation of potentially explosive deposits in plumbing. .
3.Store undiluted at -20°C .


相关图片

本产品可用于的实验

购此产品的人还购买了
最近浏览产品

京ICP备15036693号-2    京公网安备11010802025653    版权所有:北京逸优科技有限公司       2.06

 纠 错