

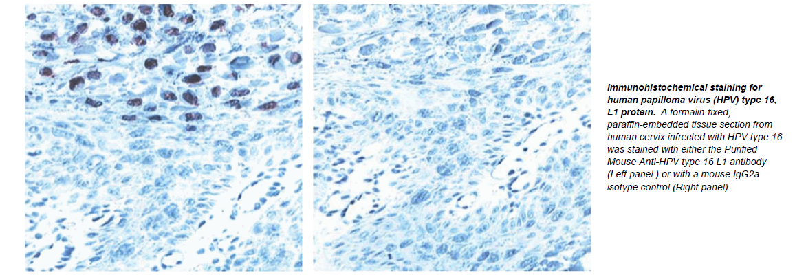
![]() |
|
||||||||||||||||||||||||||
注意事项:
1.Since applications vary, each investigator should titrate the reagent to obtain optimal results.
2.Caution: Sodium azide yields highly toxic hydrazoic acid under acidic conditions. Dilute azide compounds in running water before
discarding to avoid accumulation of potentially explosive deposits in plumbing.
3.Store undiluted at 4°C.
说明书
参考文献
本产品可用于的实验
京ICP备15036693号-2
京公网安备11010802025653 版权所有:北京逸优科技有限公司