Solaris qPCR产品通过领先的生物信息学算法和化学修饰,能够为研究者提供一基因/一试剂的完备解决方案,目前,Solaris qPCR产品平台已涵盖了检测人类和小鼠全基因组在内的几乎所有定量分析产品。在这类产品中,我们将为研究者提供:
完整的序列信息:每份产品的探针和引物的序列信息,便于文章发表。
蓝色预染的master mix:经过严格优化,扩增效率强,操作直观简便。(见图5)
灵活的产品包装:多种大小不同的产品包装,以适应研究者不同的用量要求。
通用的扩增程序:具有良好的兼容性和结果可重复性,研究者无需对实验条件进行摸索和优化。(见图3)
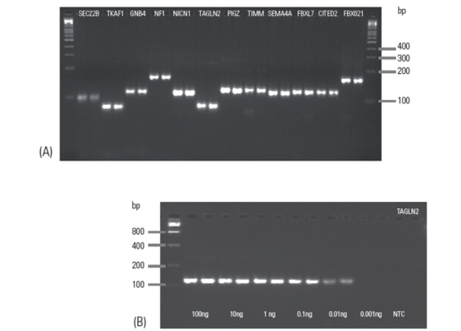
精准的定量分析结果:能够保证灵敏、高效、特异、可靠的实验数据产出。(见图4-1/2)
原厂资料:
Thermo Scientific Solaris qPCR Gene Expression Assays are pre-designed, gene specific probe and primer pairs that utilize minor groove binder (MGB)† and Superbase‡ technologies to deliver repeatable, sensitive and gene specific RT-qPCR (real-time) quantification for human and mouse genomes as well as human long noncoding RNAs (lncRNAs).
Solaris Assays are pre-designed to specifically detect all known variants of a gene with a single assay for high-confidence results. Solaris qPCR Primer and Probe Sets should be used in conjunction with the complementary instrument-specific Solaris qPCR Gene Expression Master Mix for optimal performance.
Solaris qPCR Assays have also been pre-designed to the most commonly used reference genes to help you normalize expression levels of your experimental samples (see list below).
Highlights
High performance assay – Expect excellent results in terms of repeatability, sensitivity, dynamic range, efficiency and specificity.
Sequence information included – Probe and primer sequence information is provided with every assay so you can publish with confidence.
The master mix is blue – Solaris assays have been developed with our optimized, blue qPCR master mix for ultimate assay performance and ease-of-use. See your reagents as you pipette, track your progress across multiple wells, and visually assess your set-up.
Familiar protocol – If you currently use qPCR probe assays, Solaris Assays will not require major changes to your protocol or routine.
Includes
Two primers provided to result in a final reaction concentration of 800 nM each
One gene specific MGB-probe provided to result in a final reaction concentration of 200 nM