收藏本站
热门搜索: A3500  E1910  A1360  25200056  dmem  

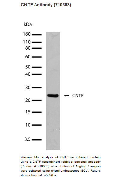
CNTF OLIGO AB-710383 EACH

  • 产品编号:710383      品牌:Thermo试剂       原厂货号:710383
  • 产品分类:抗体 > 一抗 > 蛋白特异性一抗
  • 应用分类:
 
包装:
运保温度: -20°C
到货周期: 登录后查看
标准价: ¥客户可见
会员价: ¥客户可见
积分: 客户可见
 
登录之后可加入购物车购买,请您 
对比 收藏

运费与支付说明:

1.含干冰类产品有运费;

2. 必须现金付款或有信用额度的会员才可以直接发货,否则需要等待现金付款信息。

描述:

 

Details
Tested species reactivity Human
Host / Isotype Rabbit / IgG
Class Oligoclonal
Type Antibody
Immunogen Recombinant protein corresponding to amino acids 1–200 of human CNTF
Conjugate Unconjugated
Form Liquid
Concentration 0.5 mg/ml
Purification Protein A
Storage buffer PBS
Preservative 0.09% sodium azide
Storage Conditions Maintain refrigerated at 2-8°C for up to 1 month. For long term storage store at -20°C
Tested Applications Dilution *
Western Blot (WB) 1-2 ug/ml

* Suggested working dilutions are given as a guide only. It is recommended that the user titrate the product for use in their own experiment using appropriate negative and positive controls.

 

Product Specific Information

This antibody is predicted to react with mouse, rabbit, rat and porcine based on sequence homology.

ABfinity™ recombinant antibodies are rabbit monoclonal antibodies, unmatched for producing superior results. ABfinity™ antibodies are developed by immunizing animals, screening for functionality, cloning the immunogen-specific antibody genes into high-level mammalian expression vectors, produced on a large scale and purified with Protein A.

ABfinity™ oligoclonal antibodies comprise a selection of multiple different recombinant monoclonal antibodies, providing the best of both worlds—the sensitivity of a polyclonal antibody with the specificity of a monoclonal, all delivered with the consistency only found in a recombinant antibody. While functionally the same as a polyclonal antibody—recognizing multiple epitope sites on the target and producing higher detection sensitivity for low abundance targets when compared with monoclonal antibodies—an oligoclonal antibody has a known mixture of light and heavy chains. This exact population can be produced in every lot, circumventing the biological variability typically associated with polyclonal antibody production.

Intact IgG appears on a non-reducing gel as ~150 kDa band and upon reduction generating a ~25 kDa light chain band and a ~50 kDa heavy chain.

Background/Target Information

CNTF (ciliary neurotrophic factor) is a polypeptide hormone with activity that is limited to the nervous system. It plays a role in neurotransmitter synthesis, membrane hyper polarization, and neuronal growth. CNTF promotes development of nervous system, and is involved in muscle morphogenesis. It also plays an important role in minimizing damage to neurons during inflammation. CNTF activates JAK-STAT, and PI3K signaling cascades. The protein is encoded by the gene CNTF located on chromosome 11

 


注意事项:


For Research Use Only. Not for use in diagnostic procedures. Not for resale without express authorization.
 


相关图片

说明书

参考文献

本产品可用于的实验

购此产品的人还购买了
最近浏览产品

京ICP备15036693号-2    京公网安备11010802025653    版权所有:北京逸优科技有限公司       1.84

 纠 错