收藏本站
热门搜索: A3500  E1910  A1360  25200056  dmem  

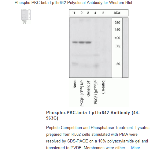
PHOSPHO-PKC BETA-1 (T642) PAB 100 UL BIOSOURCE (TM)

 
包装:
运保温度: Store at -20°C
到货周期: 登录后查看
标准价: ¥客户可见
会员价: ¥客户可见
积分: 客户可见
 
登录之后可加入购物车购买,请您 
对比 收藏

运费与支付说明:

1.含干冰类产品有运费;

2. 必须现金付款或有信用额度的会员才可以直接发货,否则需要等待现金付款信息。

描述:

 

Details
Tested species reactivity Human
Host / Isotype Rabbit / IgG
Class Polyclonal
Type Antibody
Immunogen The antiserum was produced against a chemically synthesized phosphopeptide derived from a region of human PKCbI that contains threonine 642. The sequence is conserved in rat.
Conjugate Unconjugated
Form Liquid
Purification Antigen affinity chromatography
Storage buffer Dulbecco's PBS, pH 7.3, with 1mg/ml BSA, 50% glycerol
Contains 0.05% sodium azide
Storage Conditions -20°C
Tested Applications Dilution *
Western Blot (WB) Assay Dependent

* Suggested working dilutions are given as a guide only. It is recommended that the user titrate the product for use in their own experiment using appropriate negative and positive controls.

 

Background/Target Information

Protein kinase C (PKC) is a family of serine- and threonine-specific protein kinases that can be activated by calcium and second messenger diacylglycerol. PKC family members phosphorylate a wide variety of protein targets and are known to be involved in diverse cellular signaling pathways. PKC family members also serve as major receptors for phorbol esters, a class of tumor promoters. Each member of the PKC family has a specific expression profile and is believed to play a distinct role in cells. The protein encoded by this gene is one of the PKC family members. This protein kinase has been reported to be involved in many different cellular functions, such as B cell activation, apoptosis induction, endothelial cell proliferation, and intestinal sugar absorption. Studies in mice also suggest that this kinase may also regulate neuronal functions and correlate fear-induced conflict behavior after stress. Alternatively spliced transcript variants encoding distinct isoforms have been reported.

 

 


注意事项:


For Research Use Only. Not for use in diagnostic procedures.
 


相关图片

说明书

参考文献

本产品可用于的实验

购此产品的人还购买了
最近浏览产品

京ICP备15036693号-2    京公网安备11010802025653    版权所有:北京逸优科技有限公司       0.32

 纠 错