收藏本站
热门搜索: A3500  E1910  A1360  25200056  dmem  

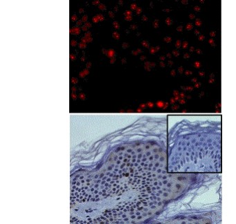
ANTI-HU KI-67 20RAJ1 PUR 100UG

  • 产品编号:14-5699-82      品牌:Thermo试剂       原厂货号:14-5699-82
  • 产品分类:抗体 > 一抗 > 蛋白特异性一抗
  • 应用分类:
 
包装:
运保温度: 2-8℃
到货周期: 登录后查看
标准价: ¥客户可见
会员价: ¥客户可见
积分: 客户可见
 
登录之后可加入购物车购买,请您 
对比 收藏

运费与支付说明:

1.含干冰类产品有运费;

2. 必须现金付款或有信用额度的会员才可以直接发货,否则需要等待现金付款信息。

描述:

Description: The monoclonal antibody 20Raj1 recognizes the human Ki-67 protein. Two isoforms of Ki-67 exist, a 345 and 395 kDa form that are expressed in dividing cells. Ki-67 is expressed in all cell types and is detectable during active phases of the cell cycle (G1, S, G2, and mitosis) but is absent from resting cells (G0). During interphase, Ki-67 expression is localized to the nucleus but redistributes to the chromosomes during mitosis and has specifically been found to associate with heterochromatin-bound proteins such as chromobox protein homolog 3 (CBX3). In studies of tumor cells, Ki-67 expression has been used as a marker for determining the fraction of proliferating cells within a given population of tumor cells.

This monoclonal antibody 20Raj1 recognizes canine (dog) Ki-67.


相关图片

说明书

参考文献

本产品可用于的实验

购此产品的人还购买了
最近浏览产品

京ICP备15036693号-2    京公网安备11010802025653    版权所有:北京逸优科技有限公司       1.97

 纠 错