收藏本站
热门搜索: A3500  E1910  A1360  25200056  dmem  

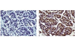
Anti-Human FoxA2 Purified (3C10) 25 ug

  • 产品编号:14-4778-80      品牌:eBioscience       原厂货号:14-4778-80
  • 产品分类:抗体 > 一抗 > 蛋白特异性一抗
  • 应用分类:
 
包装:
运保温度: 2-8℃
到货周期: 登录后查看
标准价: ¥客户可见
会员价: ¥客户可见
积分: 客户可见
 
登录之后可加入购物车购买,请您 
对比 收藏

运费与支付说明:

1.含干冰类产品有运费;

2. 必须现金付款或有信用额度的会员才可以直接发货,否则需要等待现金付款信息。

描述:

Description: This 3C10 monoclonal antibody reacts with human FOXA2, which is also known as hepatocyte nuclear factor 3 beta (HNF3B). This 48-kDa member of the Forkhead family of transcription factors is expressed in the liver, pancreas (islets and some acinar cells), lung, and intestine. During development, FOXA2 is necessary for lung bud and pancreatic beta cell formation. Recently, directed expression of FOXA2 in embryonic stem cells has been found to regulate the generation and differentiation of midbrain dopaminergic neurons. It has also been shown to regulate genes involved hepatic lipid metabolism, including alpha fetoprotein, albumin, and transthyretin, as well as Pdx1 in the pancreas. FOXA2 expression is negatively regulated by insulin and reports demonstrate a role for it in sporadic cases of maturity-onset diabetes of the young and the epithelial-to-mesenchymal transition in cancer.


相关图片

说明书

参考文献

本产品可用于的实验

购此产品的人还购买了
最近浏览产品

京ICP备15036693号-2    京公网安备11010802025653    版权所有:北京逸优科技有限公司       2.57

 纠 错